先端のインプラント治療、審美治療をニューヨークでの3年間で身に着けました。
無料カウンセリング
インプラント治療の流れ
費用について
スタッフ紹介
センター紹介
アクセス
代官山歯科トップページ
> 骨・歯ぐきが薄くても大丈夫
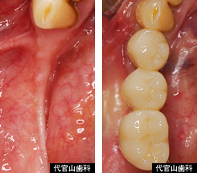
骨・歯ぐきが薄くても大丈夫
【骨の薄い方】
インプラントを埋め込むことが出来ません。
対策:骨を再生させましょう。
【歯ぐきが無くなってしまった方】
美しく環境のよいインプラント治療が出来ません。
対策: 歯ぐきを移植しましょう。
検査・診断・治療計画の重要性
手術用テンプレート作製の重要性
定期検診の重要性
即日咬めるインプラント治療
1日でキレイな歯が入る審美
インプラント
無痛無切開インプラント
コンピューター診断インプラント
審美矯正インプラント
骨再生・移植
歯肉移植
お問い合わせ:03-3462-0787
渋谷区猿楽町24-7代官山プラザ3F