1日で美しい歯が入る審美インプラント治療

特徴 たった1回で美しい歯が入ります。
「差し歯を使っていましたが歯根が折れてしまった」
「ぶつけて歯がグラグラしてきた」
という方など、これから歯を抜くことをひかえている方には最適な治療法です。歯を抜いた同じ日にインプラントを埋め込みます。歯がない期間はありません。
骨と歯が結合するまでの期間は仮歯を使うことが出来ます。
治療名
抜歯即時インプラント+仮歯装置こちらの治療法はインプラント専門医塙泰史のアメリカインプラント学会の学術発表のテーマです。
治療の流れ

症例:(症例:右前歯のインプラント治療)
![]() |
![]() |
![]() |
| 術前:倒れて歯が折れました。 | 術前:拡大写真 |
![]() |
![]() |
| 手術直後:仮歯が入りました。 | 手術直後:拡大写真 |
![]() |
![]() |
![]() |
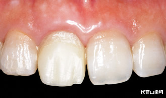
| レントゲン写真 | 術後:新しい歯が入りました | 術後:拡大写真 |

























